Bài viết được cố vấn nội dung bởi BS. Trần Quốc Huy - Phó Trưởng khoa Cấp cứu Sản - Phòng sanh, Bệnh viện Quốc tế Phương Châu
Trong 3 tháng đầu thai kỳ, siêu âm không chỉ giúp xác định tuổi thai mà còn đóng vai trò quan trọng trong việc sàng lọc sớm các bất thường của thai nhi. Trong số các chỉ số được theo dõi, độ mờ da gáy và nang bạch huyết vùng cổ là những dấu hiệu có ý nghĩa quan trọng, không nên xem nhẹ.
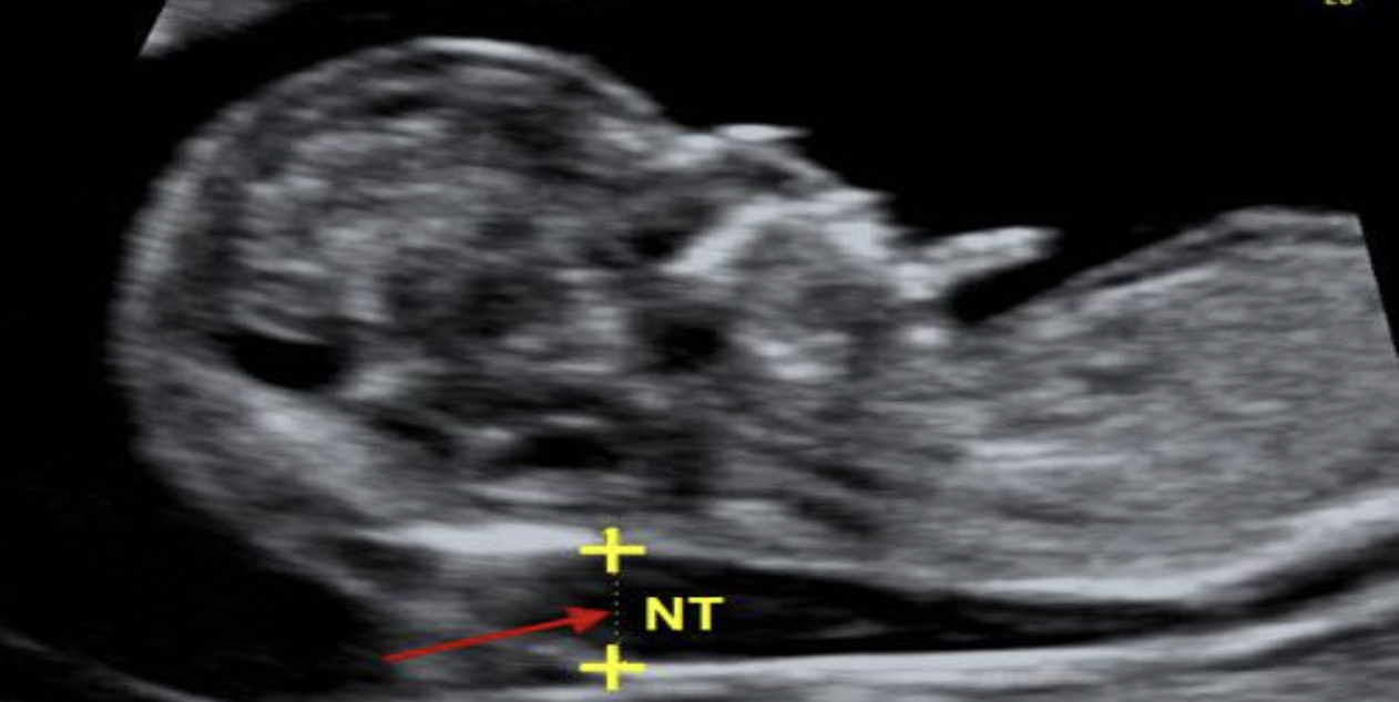
Độ mờ da gáy (NT) là gì?
Độ mờ da gáy (NT) là vùng giảm âm nằm giữa da và các mô mềm phía sau cột sống cổ của thai nhi. Khoảng giảm âm này được cho là đại diện cho tình trạng phù nề trung mô và thường liên quan đến hệ bạch huyết. NT có thể được xác định ở hầu hết thai nhi trong giai đoạn từ tuần 11 đến tuần 14 của thai kỳ.

Đo độ mờ da gáy trên siêu âm
Ở những thai nhi bình thường, NT tăng nhẹ thường có thể tự hết trong tam cá nguyệt thứ hai. Tuy nhiên, khi NT tăng nhiều hoặc tồn tại kéo dài, đây có thể là dấu hiệu gợi ý những bất thường tiềm ẩn.
Chỉ số độ mờ da gáy và ý nghĩa
- NT dưới 2,5 mm: được xem là bình thường, thai nhi có nguy cơ hội chứng Down thấp
- NT từ 2,5 đến 3 mm: trên 90% trẻ sinh ra vẫn bình thường
- NT lớn hơn 3 mm: thai nhi có nguy cơ khá cao mắc hội chứng Down, hội chứng Turner và các bất thường nhiễm sắc thể khác
Vì sao độ mờ da gáy tăng là dấu hiệu đáng lưu ý?
Về mặt nhiễm sắc thể, NT tăng có liên quan đến nguy cơ dị bội, thường gặp nhất là Trisomy 21. Ngoài ra còn có Trisomy 18, Trisomy 13 và Monosomy X. Theo các nghiên cứu, hầu hết thai nhi mắc Trisomy 21 có NT dưới 4,5 mm, trong khi thai nhi mắc Trisomy 18, Trisomy 13 và Monosomy X thường có NT từ 4,5 mm trở lên.
Bên cạnh các bất thường nhiễm sắc thể, NT tăng còn có liên quan đến các bất thường về cấu trúc, đặc biệt là dị tật tim bẩm sinh. Một số bất thường khác có thể đi kèm bao gồm tràn dịch não, bất sản, thiểu sản hoặc loạn sản phổi, dị tật tắc hoặc hẹp ruột non, loạn dưỡng xương và bất thường cơ hoành.
Ngoài ra, NT tăng còn gặp ở những thai nhi có sự phát triển bất thường của hệ bạch huyết và có liên quan đến hội chứng truyền máu song thai. Trong những trường hợp này, độ lớn của NT tăng là yếu tố tiên lượng quan trọng, NT càng tăng thì tiên lượng càng xấu.
Hơn 100 hội chứng phát triển và di truyền đã được ghi nhận có liên quan đến NT phì đại, trong đó có hội chứng Noonan, hội chứng Roberts, hội chứng Cornelia de Lange, tăng sản thượng thận bẩm sinh, teo cơ tủy sống, hội chứng DiGeorge, hội chứng Smith–Lemli–Opitz và nhiều dạng loạn sản xương.
Một số hội chứng liên quan đến đột biến gen hoặc bất thường cấu trúc, nhưng không phải tất cả.
Theo nghiên cứu, tỷ lệ chậm phát triển ở trẻ có NT tăng đơn độc là 1,4%.
Giá trị tiên lượng của độ mờ da gáy
Độ lớn của NT tăng có ý nghĩa quan trọng trong tiên lượng thai kỳ. Trong tam cá nguyệt đầu, NT từ 3,5 đến 4,4 mm có liên quan đến kết cục bình thường ở khoảng 70% thai nhi. Trong khi đó, NT từ 5,5 đến 6,4 mm chỉ có kết quả bình thường trong khoảng 30% trường hợp.
Vai trò của sàng lọc trước sinh
Đối với các thai phụ lựa chọn xét nghiệm sàng lọc kết hợp trong tam cá nguyệt đầu hoặc xét nghiệm sàng lọc tổng hợp hội chứng Down, đo NT là một phần thường quy. Khi NT lớn hơn 3 mm, thai phụ được khuyến cáo thực hiện chọc ối xét nghiệm do nguy cơ bất thường nhiễm sắc thể ở nhóm này khá cao.
Nang bạch huyết vùng cổ là gì?
Nang bạch huyết vùng cổ là một dị tật bẩm sinh do sự tích tụ bạch huyết trong các túi bạch huyết hình cầu, xuất phát từ tình trạng tắc nghẽn hệ thống bạch huyết vùng cổ của thai nhi. Dị dạng này thường được phát hiện trên siêu âm trong tam cá nguyệt đầu tiên.
Hình ảnh siêu âm thường cho thấy cấu trúc chứa đầy dịch, có thể là đơn thùy hoặc đa thùy, nằm ở vùng sau cổ hoặc kéo dài dọc theo toàn bộ chiều dài thai nhi. Bên trong nang có thể quan sát thấy nhiều vách ngăn hoặc lỗ dò.

Nang bạch huyết vùng cổ trên siêu âm
Nang bạch huyết vùng cổ liên quan đến nguy cơ gì?
Nang bạch huyết vùng cổ có liên quan đến tăng nguy cơ dị bội thai, đặc biệt là Trisomy 21, đồng thời liên quan đến các dị dạng cấu trúc, nhất là dị tật tim bẩm sinh. Kích thước nang càng lớn thì nguy cơ kết cục bất thường càng tăng. Nhìn chung, nguy cơ dị bội và dị tật bẩm sinh ở thai nhi có nang bạch huyết vùng cổ cao hơn so với trường hợp chỉ tăng độ mờ da gáy.
Sàng lọc và theo dõi thai kỳ khi phát hiện nang bạch huyết vùng cổ
Đối với thai kỳ trong 3 tháng đầu có nang bạch huyết vùng cổ, xét nghiệm xâm lấn như chọc ối nên được thực hiện do nguy cơ dị bội tương đối cao. Bên cạnh đó, thai phụ cần được tư vấn và chỉ định siêu âm tim thai chuyên sâu nhằm hạn chế bỏ sót các dị tật tim bẩm sinh.
Độ mờ da gáy tăng hoặc nang bạch huyết vùng cổ không đồng nghĩa chắc chắn thai nhi bất thường, nhưng đây là những dấu hiệu quan trọng giúp bác sĩ đánh giá nguy cơ và đưa ra hướng theo dõi phù hợp, đảm bảo an toàn cho cả mẹ và bé.
Tập đoàn y tế Phương Châu gồm 4 bệnh viện tại Miền Nam Việt Nam: Bệnh viện Phương Nam (Thành phố Hồ Chí Minh), Phương Châu Cần Thơ, Phương Châu Sa Đéc và Phương Châu Sóc Trăng, với hệ sinh thái chăm sóc sức khoẻ toàn diện Sản - Phụ khoa, Nhi Khoa - Sơ sinh, IVF - Nam Khoa, Đa khoa và Thẩm mỹ, bảo vệ sức khoẻ cho người phụ nữ và cả gia đình. Tập đoàn Y tế Phương Châu với 15 năm phụng sự từ tâm, đạt các chuẩn quốc tế gồm JCI, JCI Enterprise (đầu tiên tại Đông Nam Á và 1 trong 10 hệ thống y tế trên thế giới), RTAC (IVF), ISO 15189, và Lotus Award (USA), Nuôi con bằng sữa mẹ xuất sắc (bởi Alive & Thrive), cam kết mang lại chăm sóc an toàn – nhân văn – lấy người bệnh làm trung tâm.