Sản phụ mang song thai 20 tuần, trong 4 ngày liên tiếp luôn cảm giác đau trằn bụng dưới và cảm giác khó chịu. Chị đã đi thăm khám tại nhiều cơ sở y tế nhưng không tìm được nguyên nhân cụ thể. Thế nhưng, bằng linh cảm của một người mẹ đã mong con từ lâu, chị biết đây không phải một dấu hiệu bình thường, chắc chắn các con đang ra tín hiệu cho mẹ biết, có điều gì đó đang âm thầm xảy ra và nguy hiểm đến con.
Qua tìm hiểu thông tin trên mạng xã hội, chị và gia đình quyết định đến thăm khám tại Bệnh viện Quốc tế Phương Châu. Tại đây, sản phụ được BS.CKII. Nguyễn Duy Linh - Cố vấn chuyên môn trực tiếp thăm khám và siêu âm cho chị.
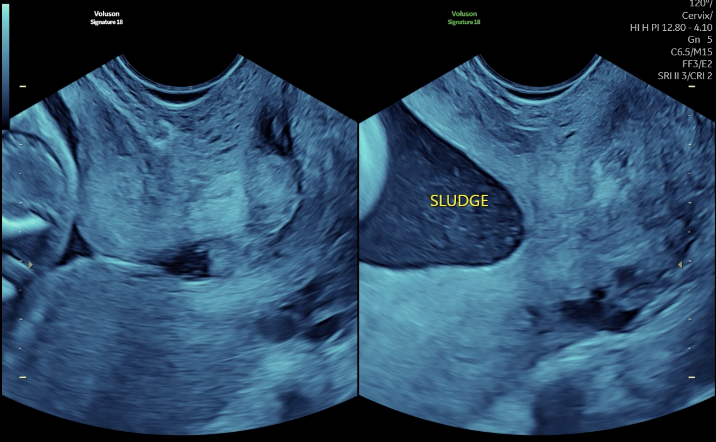
Cuộc siêu âm đo chiều dài cổ tử cung kéo dài hơn 10 phút - Khoảnh khắc quyết định của thai kỳ
Khi đã nắm bắt được tình trạng đau trằn bụng dưới của thai phụ xảy ra 4 ngày qua, cùng với nhiều lần siêu âm đo cổ tử cung (CTC) nhưng chưa phát hiện bất thường. Bác sĩ đã tiến hành thăm khám, siêu âm thai và khảo sát CTC cẩn thận, với thời gian đủ dài để đánh giá sự thay đổi của CTC khi có cơn gò và khi không có cơn gò tử cung (theo khuyến cáo của các Hiệp hội siêu âm quốc tế). Chính nhờ sự kiên nhẫn và kinh nghiệm khi thực hiện siêu âm, cuối cùng nguyên nhân làm cho thai phụ cảm thấy đau trằn bụng dưới và cảm giác bất an 4 ngày qua cũng đã hiện rõ trên màn hình siêu âm.

CTC đóng khi không có cơn gò tử cung và mở ra, ngắn lại khi cơn gò xuất hiện
CTC của chị mở ra khi có cơn gò tử cung và đóng lại khi qua cơn gò. Ở thời điểm CTC mở ra, màng ối và nước ối với nhiều cặn ối đã chui vào kênh cổ tử cung. Đây là một tình huống cực kỳ nguy hiểm, nếu không được phát hiện kịp thời thì cổ tử cung sẽ tiếp tục mở ra, ngắn dần và nguy cơ sảy thai trong thời gian ngắn là điều không thể tránh khỏi. Các BS đã khẩn trương tiến hành các thủ tục cần thiết và bệnh nhân được khâu CTC cấp cứu ngay trong ngày.
Trường hợp đặc biệt thai nhi thuộc nhóm 1% nhỏ nhất - Thai kỳ đầy thách thức
Chưa dừng lại ở đó, bác sĩ tiếp tục phát hiện một yếu tố nguy cơ nghiêm trọng khác: tình trạng thai chậm tăng trưởng xuất hiện sớm khi thai chỉ hơn 5 tháng, kích thước và trọng lượng của hai bé luôn nhỏ hơn so với tuổi thai và luôn luôn nằm dưới bách phân vị 1 (thai nhi thuộc nhóm 1% nhỏ nhất so với các thai nhi cùng tuổi thai). Với tình trạng thai chậm tăng trưởng xuất hiện sớm như vậy, đây cũng được xem là một thai kỳ nguy cơ cao, hiếm gặp, đòi hỏi theo dõi sát sao cũng như sự phối hợp tốt giữa bác sĩ và gia đình trong suốt thai kỳ.
Một cái kết đẹp cho hành trình nỗ lực không ngừng nghỉ
Nhờ được thăm khám kỹ lưỡng, với phác đồ theo dõi thai kỳ nguy cơ cao rất chặt chẽ của Bệnh viện Quốc tế Phương Châu, cũng như sự phối hợp và tuân thủ rất tốt của thai phụ theo mọi chỉ định của bác sĩ. Các chỉ số sức khỏe của thai nhi vẫn duy trì ổn định và tuổi thai ngày càng lớn dần.
Thai kỳ được kéo dài đến 34 tuần 6 ngày - một cột mốc vô cùng quý giá với trường hợp song thai nguy cơ cao (CTC mở lúc 20,5 tuần, được khâu CTC cấp cứu và thai chậm tăng trưởng sớm). Thai phụ đã có dấu hiệu vỡ ối non và chuyển dạ sanh non, siêu âm ước lượng trọng lượng của hai bé chỉ khoảng 1,7kg và 1,3kg.
Ca mổ diễn ra thuận lợi, suôn sẻ trong sự tập trung cao độ của ekip phẫu thuật. Bác sĩ Nhi - Sơ sinh đã có mặt chuẩn bị mọi thứ ngay trước cuộc mổ và sẵn sàng kiểm tra sức khỏe hai bé ngay khi vừa chào đời. Và thật may, hai con đến với thế giới này rất khỏe mạnh, không cần đến sự hỗ trợ hô hấp từ bên ngoài, tất cả sự căng thẳng của ekip và ba mẹ đã được giải tỏa, thành công vượt ngoài mong đợi của tất cả “Mẹ đã tròn và con đã vuông”.

Do sinh non tháng và nhẹ cân, hai con được chuyển đến phòng NICU để thực hiện da kề da liên tục và theo dõi thêm trong 24 giờ. Sau khi được các Bác sĩ đánh giá cẩn thận, hô hấp và sức khỏe 2 bé ổn định, tự thở khí trời, bú tốt, hai con được ra ngoài và trở về phòng hậu sản cùng với mẹ.

Đây là một trường hợp được đánh giá là rất đặc biệt, hiếm gặp và vô cùng nguy hiểm. Thông qua tình huống trên BS.CKII. Nguyễn Duy Linh - Cố vấn chuyên môn, BVQT Phương Châu có vài lời chia sẻ đến với các mẹ bầu, đặc biệt các mẹ bầu đang gặp phải tình huống giống như sản phụ trên:
“Khi các mẹ bầu cảm thấy đau trằn bụng dưới, khó chịu, mót rặn, ra huyết, ra dịch âm đạo bất thường hoặc cảm giác bất an…giai đoạn 3 tháng giữa thai kỳ, các mẹ bầu nên đến cơ sở y tế thăm khám sớm để được các BS kiểm tra, đánh giá tình trạng sức khỏe thai nhi cũng như được đo chiều dài cổ tử cung.
Đánh giá cổ tử cung qua siêu âm đòi hỏi các BS phải tuân thủ đầy đủ các tiêu chuẩn nghiêm ngặt, mặt cắt siêu âm phải chuẩn, thời gian siêu âm phải đủ lâu,...có như vậy thì kết quả mới chính xác, giúp ích cho Bác sĩ đưa ra quyết định điều trị hợp lý.
Với những trường hợp thai chậm tăng trưởng sớm, đặc biệt trên song thai, lịch trình khám thai nghiêm ngặt hơn các thai kỳ bình thường. BS theo dõi cần có kỹ năng chuyên môn và kinh nghiệm quản lý những thai kỳ nguy cơ cao cũng như có thể đưa ra được quyết định thai nhi có thể tiếp tục được theo dõi an toàn trong bụng mẹ hay cần thiết phải được sanh ra, tránh tình trạng xấu nhất là thai nhi bị lưu trong bụng mẹ.
Quá trình em bé chào đời, đòi hỏi sự phối hợp chặt chẽ và nhuần nhuyễn giữa bác sĩ Sản khoa và bác sĩ Nhi- Sơ sinh. Thai nhi nên được sanh tại BV có đầy đủ trang thiết bị theo dõi, hồi sức hiện đại để có thể hỗ trợ cho bé tốt nhất.
Đặc biệt vai trò của người mẹ là vô cùng quan trọng. Mẹ phải giữ tâm lý ổn định, cố gắng ăn uống, nghỉ ngơi hợp lý, bổ xung dinh dưỡng, theo dõi cử động thai để biết được 2 bé có ổn định không... Cố gắng không lo lắng, phần lo lắng hãy để cho bác sĩ gánh vác.”
Lựa chọn cơ sở y tế có chuyên môn sâu, trang thiết bị hiện đại, có phác đồ theo dõi thai theo chuẩn quốc tế, có BS có kinh nghiệm theo dõi những trường hợp mang thai khó, nguy cơ cao,... là yếu tố quyết định để giữ trọn vẹn con yêu trong vòng tay mẹ.
Tập đoàn y tế Phương Châu gồm 4 bệnh viện tại Miền Nam Việt Nam: Bệnh viện Phương Nam (Thành phố Hồ Chí Minh), Phương Châu Cần Thơ, Phương Châu Sa Đéc và Phương Châu Sóc Trăng, với hệ sinh thái chăm sóc sức khỏe toàn diện Sản - Phụ khoa, Nhi Khoa - Sơ sinh, IVF - Nam Khoa, Đa khoa và Thẩm mỹ, bảo vệ sức khỏe cho người phụ nữ và cả gia đình. Tập đoàn Y tế Phương Châu với 15 năm phụng sự từ tâm, đạt các chuẩn quốc tế gồm JCI, JCI Enterprise (đầu tiên tại Đông Nam Á và 1 trong 10 hệ thống y tế trên thế giới), RTAC (IVF), ISO 15189, và Lotus Award (USA), Nuôi con bằng sữa mẹ xuất sắc (bởi Alive & Thrive), cam kết mang lại chăm sóc an toàn – nhân văn – lấy người bệnh làm trung tâm.