Chị Đ.T, 36 tuổi đến khám tại Bệnh viện Quốc tế Phương Châu trong tâm trạng lo lắng kéo dài.
Trong nhiều tháng nay, kinh nguyệt của chị T ra nhiều, hành kinh kéo dài từ 7-10 ngày, kèm đau tức vùng bụng dưới, chị T cảm giác người lúc nào cũng mệt mỏi. Những điều trên khiến sinh hoạt hằng ngày của chị T bị đảo lộn.
Tại Bệnh viện Quốc tế Phương Châu, chị T được các bác sĩ thăm khám và chỉ định thực hiện các cận lâm sàng cần thiết. Kết quả cho thấy:
- Xét nghiệm máu: có tình trạng thiếu máu mức độ nhẹ, nguyên nhân có thể do tình trạng rong cường kinh gây nên.
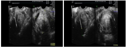
- Kết quả siêu âm: thành sau tử cung có nhân xơ tử cung kích thước to # 71 x 71 mm, nằm gần cổ tử cung. Đây là vị trí “khó”, có nguy cơ phải phải phẫu thuật cắt tử cung - Đây cũng là điều khiến chị T lo lắng vì chị mong muốn bảo tồn tử cung.

Hình: Thành sau tử cung có nhân xơ tử cung kích thước to # 71 x 71 mm, nằm gần cổ tử cung
(Nguồn: Bệnh viện Quốc tế Phương Châu)
Sau khi được sự tư vấn của bác sĩ Phương Châu, chị T lựa chọn phương pháp Đốt nhân xơ bằng sóng cao tần (RFA). Đây là phương pháp ít xâm lấn, với nguyên lý dùng sóng nhiệt tác động chính xác vào khối nhân xơ, làm nhỏ kích thước khối nhân xơ và không ảnh hưởng đến mô lành xung quanh. Với phương pháp điều trị này chị T sẽ bảo tồn được tử cung như mong muốn.


Hình: Thực hiện phương pháp RFA điều trị nhân xơ tử cung
(Nguồn: Bệnh viện Quốc tế Phương Châu)
Sau phẫu thuật, chị T hồi phục sớm, gần như không đau nhiều. Chỉ sau một thời gian ngắn, chị cảm nhận rõ kinh nguyệt ổn định hơn, bụng nhẹ hẳn, sinh hoạt trở lại bình thường.
Chị T chia sẻ: “Mình nhẹ người cả nghĩa đen lẫn nghĩa bóng. Quan trọng nhất là vẫn giữ được tử cung, mà không phải trải qua cuộc mổ lớn.”
Nhận định chuyên môn từ Bác sĩ Nguyễn Lê Hoàng Dung - Bác sĩ điều trị Bệnh viện Quốc tế Phương Châu:
“ Nhân xơ tử cung là bệnh lý lành tính thường gặp ở phụ nữ trong độ tuổi sinh sản. Tuy nhiên, những trường hợp nhân xơ kích thước lớn, nằm gần cổ tử cung luôn là thách thức trong điều trị vì nguy cơ chảy máu, ảnh hưởng đến khả năng sinh sản. Với vị trí đặc biệt này, phẫu thuật bóc nhân xơ tử cung hoặc cắt tử cung tiềm ẩn nhiều rủi ro và không phải lựa chọn tối ưu đối với bệnh nhân còn nhu cầu bảo tồn tử cung. Ở trường hợp này, RFA là phương pháp được lựa chọn phù hợp”